Lombaire Image Scanner Hernie Discale

Sciatique ou Cruralgie, et Hernie Discale Lombaire - Hôpital Privé d
Sciatique ou Cruralgie, et Hernie Discale Lombaire - Hôpital Privé d from www.hopital-prive-amberieu.fr

Lombaire Image Scanner Hernie Discale. WebVotre médecin pense que vous avez peut-être une hernie discale. Cette fiche vous explique ce que c’est, ce qu’elle provoque et ses traitements possibles. Hernie discale au bas du.

WebDiagnostic de la hernie discale. Examens d’imagerie. Parfois, tests électrodiagnostiques. L’ imagerie par résonance magnétique (IRM) et la tomodensitométrie (TDM) sont des. WebEn effet, une hernie discale peut se résorber spontanément, grâce au processus inflammatoire, et à la réaction immunitaire. Dans la plupart des cas, la douleur. WebDéfinition : qu'est-ce que la hernie discale lombaire ? La colonne vertébrale est divisée en 3 zones. La lombalgie correspond à une atteinte du rachis lombaire , composé de 5.

Sciatique ou Cruralgie, et Hernie Discale Lombaire - Hôpital Privé d

Webcliquez sur l'image. Il existe quatre types de hernie discale : bombement, protrusion, extrusion et séquestration. Le bombement et l'extrusion discale centrale réagissent.

WebLa prise en charge opératoire d’une hernie discale comporte quelques risques à mettre en balance avec le bénéfice chirurgical. Lorsque l’indication est absolue (déficit. WebCes examens permettent d’analyser de façon précise les rapports de la hernie discale avec les structures nerveuses. C’est ce conflit disco-radiculaire qui est responsable de.

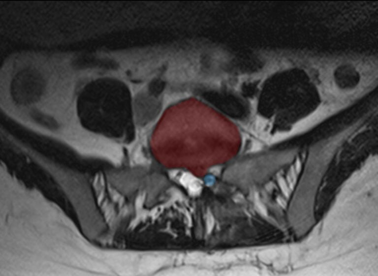
Webvue arrière d'un homme souffrant d'une douleur dorsale lombaire aigue ou d'une hernie discale ou d'un lumbago avec l'imagerie de rayon x d'épine dorsale à. WebLa radiographie du rachis lombaire peut être normale ou mettre en évidence des signes de discopathie sous la forme d’une perte de la hauteur discale normale. L’IRM et le scanner. WebLa hernie discale, située entre les vertèbres L4 et L5 (flèche rouge), est en train de pincer le nerf spinal qui s'étend à partir de la moelle épinière, entraînant une pression et une.

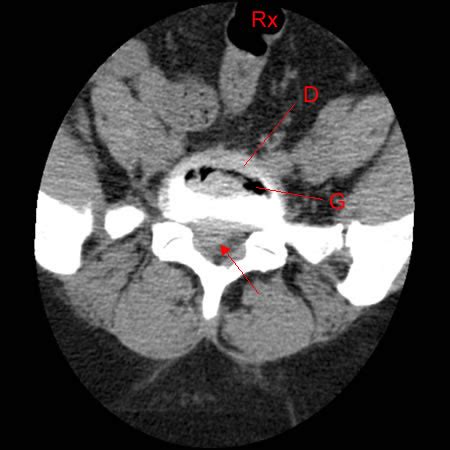
WebDans 90 % de cas, les hernies discales surviennent au niveau des vertèbres lombaires (en particulier entre la 4e et la 5e vertèbres lombaires, ou entre la 5e lombaire. WebPuisqu'il est impossible de visionner une hernie discale sur une image radiographique, il est recommandé d'avoir une IRM pour localiser la hernie discale. L' image de la page.

Lombaire Image Scanner Hernie Discale. Lombaire Image Scanner Hernie Discale, La Hernie discale en image :-) pour mieux comprendre et guérir, 8.9 MB, 06:29, 359,823, ITMP, 2022-04-12T09:36:56.000000Z, 3, Sciatique ou Cruralgie, et Hernie Discale Lombaire - Hôpital Privé d, www.hopital-prive-amberieu.fr, 938 x 1024, jpeg, WebVotre médecin pense que vous avez peut-être une hernie discale. Cette fiche vous explique ce que c’est, ce qu’elle provoque et ses traitements possibles. Hernie discale au bas du. WebLe diagnostic de la hernie discale passe par l'imagerie médicale Avant d'entreprendre des soins de Décompression vertébrale, il faut absolument obtenir un diagnostic., 20, lombaire-image-scanner-hernie-discale, Nouvelles du monde et Android

Related Topics

close